Davanti all'ingresso del Grande Ospedale metropolitano la prima tappa della mobilitazione regionale di Sinistra italiana ed Europa Verde: nel mirino il piano di rientro, la carenza di personale e il debito sanitario. «Serve una legge speciale e un confronto con Roma»
Alle ore 11, presso l'Aula Spinelli del presidio “Riuniti”. L’incontro prevede l’intitolazione dei locali I locali saranno intitolati al giudice Lilia Gaeta ed alla dottoressa Alberta Capua
Dalla collaborazione tra Cna, ospedale e associazioni nasce «Un Sorriso Sempre», il progetto che mette in rete le imprese del benessere a supporto dei pazienti oncologici.
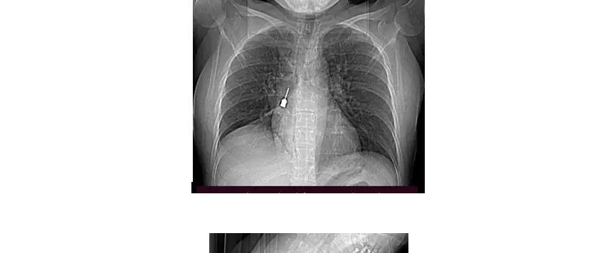
Di recente la U.O.C. Chirurgia Vascolare del Grande Ospedale Metropolitano di Reggio Calabria ha eseguito con successo un trattamento di elevata complessità su un paziente con un voluminoso aneurisma toraco-addominale (7 cm di diametro).
Il corso estraneao estratto dal Direttore dell’UOC di Chirurgia Toracica, dr. Baldassare Mondello, insieme alla sua équipe. Il decorso postoperatorio è stato regolare e la paziente è stata dimessa in ottime condizioni
È stato ufficialmente installato e reso operativo, presso il reparto di OncoEmatologia Pediatrica del Grande Ospedale Metropolitano di Reggio Calabria, il microscopio di alta generazione destinato a migliorare le attività diagnostiche a favore dei piccoli pazienti.
Accanto alla luminosa Chiara, al momento della consegna, anche il papà che ha voluto ringraziare a nome di tutte le persone che beneficeranno di questo importante strumento
Tiziana Barillà, giornalista e familiare di un paziente del Gom di Reggio, ha reso pubblica la sua odissea dando merito ad un organico «sottodimensionato per il carico di lavoro, che con abnegazione fronteggia continue difficoltà»
La stagione influenzale entra nel vivo registrando un aumento degli accessi ai pronto soccorso in tutta la Calabria. Nel Reggino crescono i casi e le complicanze respiratorie, con il picco atteso a metà mese
L’associazione Il Sorriso di Natale Chiara ha portato Babbo Natale e le mascotte nel reparto di pediatria del GOM di Reggio Calabria, regalando un momento di leggerezza ai piccoli pazienti e alle loro famiglie. Un gesto di vicinanza condiviso con volontari, personale sanitario e realtà del territorio.
Una mattinata di festa nel reparto di Pediatria del Grande Ospedale Metropolitano di Reggio Calabria: giochi, musica e l’arrivo a sorpresa di Babbo Natale per donare ai bambini ricoverati un momento di leggerezza e serenità.
Richiesto accesso agli atti e chiarimenti sui criteri di liquidazione. Secondo quanto risulta alle sigle sindacali Cisl Fp, Nursind e Nursing Up, la direzione ospedaliera starebbe proponendo accordi transattivi individuali ai lavoratori che hanno già intrapreso azioni legali
Rinnovato l’appuntamento natalizio tra la Prefettura di Reggio Calabria e il Grande Ospedale Metropolitano: libri donati ai bambini ricoverati come gesto di vicinanza concreta e attenzione culturale verso i pazienti più fragili.
Il Grande Ospedale Metropolitano di Reggio Calabria ha ospitato oggi la prima tappa del progetto “La musica, un’emozione che cura”, organizzato da Federsanità ANCI Calabria in partnership con il Conservatorio di Musica “Pyotr Ilyich Tchaikovsky” di Catanzaro.
La denuncia della madre di un figlio gravemente disabile dopo la presentazione dei documenti dell’ASP di Reggio Calabria: «I dati non raccontano la qualità dell’assistenza domiciliare né il peso reale che grava sulle famiglie».
Il 17 dicembre, in collaborazione con “I pagliacci clandestini”, i soci del club consegneranno giocattoli ai bambini ricoverati al GOM, portando gioia e speranza nel periodo natalizio
Tra i target stabiliti dal Commissario ad acta Occhiuto anche la riduzione dei tempi di attesa, la riduzione del consumo degli antibiotici e l’aumento nella Farmaceutica dell’utilizzo di biosimilari
Accompagnati dall'ex sindacalista Nuccio Azzarà una rappresentanza del gruppo in cura contesta la sostituzione del farmaco originario con l’equivalente e chiede al Commissario del Gom, Tiziana Frittelli un incontro per chiarire la questione: «L'efficacia del farmaco la conosce solo il paziente»
Dopo la denuncia di 25 infermieri del blocco operatorio del Grande Ospedale Metropolitano di Reggio Calabria, l’Ispettorato territoriale del lavoro ha convocato l’azienda per il 29 dicembre con l’obiettivo di esperire un tentativo di conciliazione monocratico